Síguenos en.. Linkedin

Noticias

28 Jul 2014

EL TCG PERMITE EVITAR LA TRANSMISIÓN DE 600 ENFERMEDADES HEREDITARIAS | BCM

EL TCG PERMITE EVITAR LA TRANSMISIÓN DE 600 ENFERMEDADES HEREDITARIAS

+ info

28 Jul 2014

SÉ MADRE CUANDO TÚ QUIERAS CON ?PRESERVA? | BCM

SÉ MADRE CUANDO TÚ QUIERAS CON ?PRESERVA?

+ info

22 Jul 2014

TCG 549 - Test de Compatibilidad Genética  | BCM

TCG 549 - Test de Compatibilidad Genética

+ info

28 May 2014

Barcelona Centro Médico estrena nueva web | BCM

Barcelona Centro Médico estrena nueva web

+ info

12 May 2014

Braquiterapia de próstata: implantes hdr | BCM

Braquiterapia de próstata: implantes hdr

+ info

12 May 2014

IMRT vs RT 3D Conformada para tratar los ganglios pélvicos en cáncer de próstata | BCM

IMRT vs RT 3D Conformada para tratar los ganglios pélvicos en cáncer de próstata

+ info

15 Mar 2014

BARRAQUER CREA UNA APP DE REVISION VISUAL | BCM

BARRAQUER CREA UNA APP DE REVISION VISUAL

+ info

28 Ene 2014

El Instituto IMOR realiza el primer tratamiento de cáncer de mama con radioterapia intraoperatoria en la Península | BCM

El Instituto IMOR realiza el primer tratamiento de cáncer de mama con radioterapia intraoperatoria en la Península

+ info

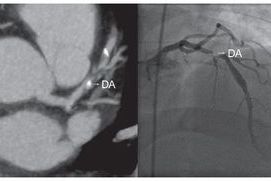
27 Ene 2014

 ANGIO TAC CORONARIA: Un avance en el diagnóstico cardiológico  | BCM

ANGIO TAC CORONARIA: Un avance en el diagnóstico cardiológico

+ info